異次元の矯正歯科治療
ロスフィロソフィの矯正歯科治療は「顔の変化」を治療目標の一つに設定しています。美しい顔として多くの日本人に知られる国宝・阿修羅像を例に、私たちがどのような指標に基づいて顔を評価していくのかご紹介します。



01
アジア系そして女性では、中顔面高と下顔面高の比は1:1弱。ヨーロッパ系では1:1です。


02
アジア系の女性では1:1.85が一つの指標となっています。男性では1:2です。


03
Sn-vertical のラインを基準に、上口唇・下口唇・オトガイ(下顎の先端部分)の水平的な距離を計測します。上唇+5mm、下唇 +2mm、オトガイ -5mm で、この方は理想的な範囲にあります。


04
下顔面高と、オトガイ先端から首までの距離の比は、1:0.7程度が指標です。
Before
After
01
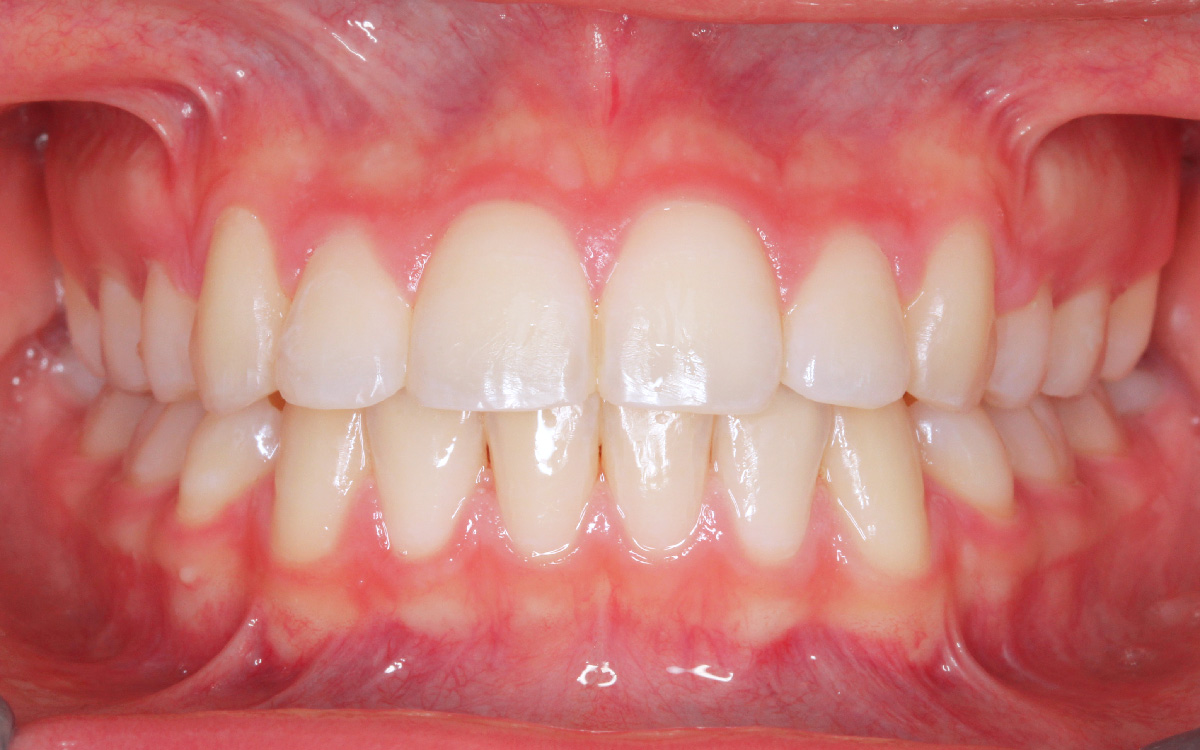
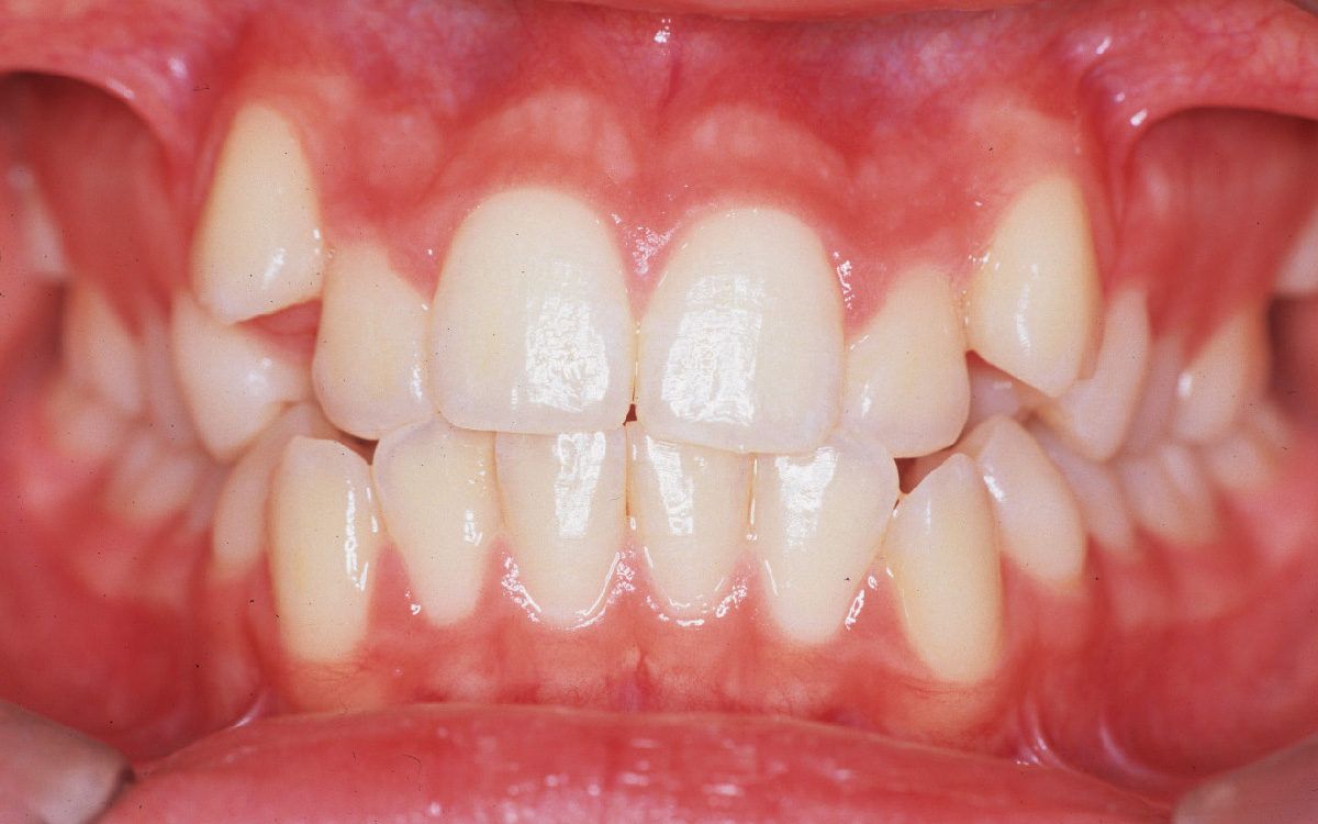
神様が造ってくれた鼻、口唇、そしてオトガイ(下顎の先端部分)。モナリザを一生涯持ち続けたダビンチ。苦労していたのは怪しい口元?。矯正治療では本人が持って生まれたものに何も加えていません。
Before
After
02
わかっています!!オトガイに何かを加えたい衝動!!こちらの症例は矯正治療によって、下顎の前方回転を行ってオトガイを前方へ、そして首からオトガイまでの距離を長くしています。注意するのは下顔面高をあまり長くしないことです。
Before
After
03
残念ながら八重歯の出っぱりは日本人の代名詞。1970年代のオードリー・ヘップバーン主演映画「ティファニーで朝食を」。乱れた歯とメガネそしてカメラが当時の日本人像でした。
Before
After
04
口の中には美しい原石のような歯がいっぱい。これを顔のバランスを考えながら並べるのが矯正歯科医です。
2026.03.03
webサイトをリニューアルしました。
https://rwjso.com/