R07
01R07
「早く矯正を始めれば、歯を抜かずに治療できる」という話をよく耳にします。確かに現在の矯正装置を使えば、生えてくる歯をすべて並べること自体は可能です。しかしその場合「すべての歯をとにかく並べること」のみが治療目標になっています。
「歯を並べた後、どうなのか」が大切であり、すべての歯を並べることができても、これらの治療目標が達成されなければ治療結果は安定せず、予後に不安が残ります。
02R07
すべての症例で早期治療が必要なわけではありませんが、次のような場合は早めの対応が望まれます。
特に上顎と下顎の位置関係に異常がある場合は、成長期の前期(6〜9歳頃)に介入したいと思います。どのような場合に介入が必要か、症例をあげてご説明します。
02R07
すべての症例で早期治療が必要なわけではありませんが、次のような場合は早めの対応が望まれます。
特に上顎と下顎の位置関係に異常がある場合は、成長期の前期(6〜9歳頃)に介入したいと思います。どのような場合に介入が必要か、症例をあげてご説明します。
治療前



スプリント後



矯正治療後



頭部X線規格写真
治療前
スプリント後Case 01R07
一般的に成長と共に重度になると言われています(成人まで放置すると外科のアシストを要する可能性も高くなります)。成長加速期の前に治療を始めることで、成長を味方につけて、顎の骨格を良い方向へ導ける可能性が高くなります。可能であれば6〜9歳時にスタートします。
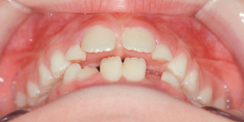
治療前
[7歳5か月]
【お顔】4歳頃に下顎を打撲しています。下顎は左にずれ、オトガイ(下顎の先端部分)が大きく左に位置しています。【口腔内】下顎の前歯の正中(真ん中)は左にずれています。上下前歯の前後的・垂直的なズレがあり、わずかな開咬の状態です。
初期治療として、顎の位置の安定化のため下顎にスプリントを装着し、成長の正常化をはかりました。
スプリント後
[1年6か月のスプリント療法後]
【お顔】オトガイの左側への変位は改善し、目立たなくなりました。【口腔内】正中はほぼ一致し、開咬も改善しました。
行なったのは顎位安定型のスプリント装着のみで、個別の歯の移動は行なっていません。このように環境を良くして正常な成長を促します。 2次治療開始までスプリント装着を(時間を減らして)継続します。
矯正治療後
[14歳10か月]
2次治療では非抜歯で矯正治療を行いました。
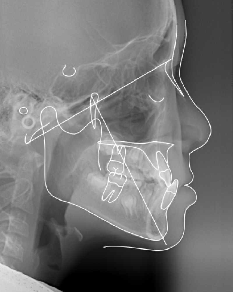
頭部X線規格写真
スプリント療法後、オトガイの左側への偏位が改善しています。下顎枝の長さも左右ほぼ同等の長さになっています。
まとめ
治療前



[7歳5か月]
【お顔】4歳頃に下顎を打撲しています。下顎は左にずれ、オトガイ(下顎の先端部分)が大きく左に位置しています。【口腔内】下顎の前歯の正中(真ん中)は左にずれています。上下前歯の前後的・垂直的なズレがあり、わずかな開咬の状態です。
初期治療として、顎の位置の安定化のため下顎にスプリントを装着し、成長の正常化をはかりました。
スプリント後



[1年6か月のスプリント療法後]
【お顔】オトガイの左側への変位は改善し、目立たなくなりました。【口腔内】正中はほぼ一致し、開咬も改善しました。
行なったのは顎位安定型のスプリント装着のみで、個別の歯の移動は行なっていません。このように環境を良くして正常な成長を促します。 2次治療開始までスプリント装着を(時間を減らして)継続します。
矯正治療後



[14歳10か月]
2次治療では非抜歯で矯正治療を行いました。
頭部X線規格写真
スプリント療法後、オトガイの左側への偏位が改善しています。下顎枝の長さも左右ほぼ同等の長さになっています。
頭部X線規格写真
オトガイの左側への偏位が改善しています。下顎枝の長さも左右ほぼ同等の長さになりました。
まとめ
治療前




R

L
スプリント後




R

L
矯正治療後




R

L
頭部X線規格写真
治療前
スプリント後
矯正治療後Case 02R07
治療前
[6歳4か月]
一見普通に見えますが、患者さんは無意識に(上下の歯がしっかり当たる位置まで)下顎を前に出して咬む習慣がありました。【顎関節CBCT画像】下顎頭は顎関節窩から大きく前にずれています(ポスチャリングといいます)。
今後の成長に深く関わるため、顎関節を含めて詳細な検査・診断が不可欠です。特に顎関節はMRIで円板転位の状態を把握する必要があります。成長加速期には、下顎の成長を最大限に引き出したいと考えます。
スプリント後
[1年のスプリント療法後]
顎位を確認したところ、本来の顎の位置がわかりました。【顎関節CBCT画像】下顎頭は関節窩に収まっています。【お顔】その結果、下顎・オトガイ(下顎の先端部分)は後退しています。上下前歯は前後的なギャップができました。
その後も、歯の移動を伴う2次治療に移行するまでスプリント装着(主に就寝時)を継続し、「下顎頭が関節窩に収まった状態をいかに維持するか」に最後まで注意しながら治療していきます。
矯正治療後
[16歳1か月/2年9か月の矯正治療後]
【お顔】治療中も下顎の成長は持続し、オトガイの位置も前にしっかりと出て、バランスの良い顔立ちとなっています。【口腔内】上下前歯の前後的なギャップも解消し、安定した歯並びを得ることができました。
小臼歯を抜歯して得たスペースと、下顎の反時計回転の成長メカニクスを用い、成長スパートとの相乗効果を狙ってさらに良い方向に成長しました。
頭部X線規格写真
一時スプリントを装着して下顎は後退しましたが、その後下顎は反時計回りに大きく成長しているのがわかります。顎位を安定させるプロセス(スプリント治療)が、その後いかに大きな下顎の成長をもたらしたかを示しています。
まとめ
治療前




R

L
[6歳4か月]
一見普通に見えますが、患者さんは無意識に(上下の歯がしっかり当たる位置まで)下顎を前に出して咬む習慣がありました。【顎関節CBCT画像】下顎頭は顎関節窩から大きく前にずれています(ポスチャリングといいます)。
今後の成長に深く関わるため、顎関節を含めて詳細な検査・診断が不可欠です。特に顎関節はMRIで円板転位の状態を把握する必要があります。成長加速期には、下顎の成長を最大限に引き出したいと考えます。
スプリント後




R

L
[1年のスプリント療法後]
顎位を確認したところ、本来の顎の位置がわかりました。【顎関節CBCT画像】下顎頭は関節窩に収まっています。【お顔】その結果、下顎・オトガイ(下顎の先端部分)は後退しています。上下前歯は前後的なギャップができました。
その後も、歯の移動を伴う2次治療に移行するまでスプリント装着(主に就寝時)を継続し、「下顎頭が関節窩に収まった状態をいかに維持するか」に最後まで注意しながら治療していきます。
矯正治療後




R

L
[16歳1か月/2年9か月の矯正治療後]
【お顔】治療中も下顎の成長は持続し、オトガイの位置も前にしっかりと出て、バランスの良い顔立ちとなっています。【口腔内】上下前歯の前後的なギャップも解消し、安定した歯並びを得ることができました。
小臼歯を抜歯して得たスペースと、下顎の反時計回転の成長メカニクスを用い、成長スパートとの相乗効果を狙ってさらに良い方向に成長しました。
頭部X線規格写真
一時スプリントを装着して下顎は後退しましたが、その後下顎は反時計回りに大きく成長しているのがわかります。顎位を安定させるプロセス(スプリント治療)が、その後いかに大きな下顎の成長をもたらしたかを示しています。
まとめ
治療前



矯正治療後



頭部X線規格写真
治療前
矯正治療後Case 03R07
上の歯より下の歯が前に出ている(通常と反対に咬んでいる)状態を反対咬合といいます。単に歯の位置に問題がある場合と、上顎と下顎の骨格の位置に問題がある場合があります。後者の骨格パターンに問題がある場合は、早期に治療した方が容易、かつ後の成長にも良い影響を与える可能性があるため、早めに治療に入りたいと思います。
治療前
[10歳3か月]
他院での1次治療の途中で来院されました。【口腔内】下の前歯が上の前歯を覆い隠すように前に出ています。【お顔】一見、下顎が前に出ているように見えますが、よく見ると下顎が大きく前に出ているというより、上顎が後退していて劣成長に見えます。鼻翼付近が後退しているため下顎がしゃくれている状態です。
上顎と下顎の成長時期は異なり、上顎の成長は12歳頃にほぼ終わり、下顎は(男女差はありますが)その後も続きます。上顎の前方への成長誘導が可能な時期はおおよそ5〜10歳までの間です。この場合(10歳3か月)は急ぐ必要があります。
初期治療として上顎の骨結合部を緩めた後、上顎を前方へ引き出しました。同時にスプリント療法を行い、顎の位置の不安定さを補正しつつ、上顎に咬む刺激を与え、成長促進をはかりました。咬み合せを安定化させると共に、急激な咬み合せの変化から顎関節を守っています。前歯の上下の関係、上下の顎の骨格の関係を改善しました。
その後成長がほぼ終わるまで下顎の成長を観察し、15歳で2次治療を開始、歯並びを整えました(治療期間1年7か月)。
矯正治療後
鼻翼の横は前方へ引き出され、頬もふっくらしています。
頭部X線規格写真
上顎の前方への成長を誘導した結果、治療前は歯を失ったお年寄りのような横顔が、治療後はふっくらとした顔立ちになり、大きく変化しました。
まとめ
矯正治療のタイミングは症例によって異なり、骨格パターンに問題がある場合は早めの対応が不可欠です。この時期に治療できれば成長を誘導でき、治療の可能性が広がります。
こちらの症例では上顎に目が行きますが、下顎が正常に成長するのを見守ることも同時に行なっています。どの時期に矯正治療を行うにしても、顎関節を含めた検査・診断をまず行い、患者さんの状況を十分に把握し、適切な時期にその時期にしかできない適切な治療を行い、2次治療で歯並びを整えます。それまでは顎の成長を見守ることに主眼を置きます。
反対咬合で注意すべき点として、下顎が大きい人は普通の成長期より更に大きく成長する可能性があり、その場合は外科のアシストも考える必要があります。
治療前



[10歳3か月]
他院での1次治療の途中で来院されました。【口腔内】下の前歯が上の前歯を覆い隠すように前に出ています。【お顔】一見、下顎が前に出ているように見えますが、よく見ると下顎が大きく前に出ているというより、上顎が後退していて劣成長に見えます。鼻翼付近が後退しているため下顎がしゃくれている状態です。
上顎と下顎の成長時期は異なり、上顎の成長は12歳頃にほぼ終わり、下顎は(男女差はありますが)その後も続きます。上顎の前方への成長誘導が可能な時期はおおよそ5〜10歳までの間です。この場合(10歳3か月)は急ぐ必要があります。
初期治療として上顎の骨結合部を緩めた後、上顎を前方へ引き出しました。同時にスプリント療法を行い、顎の位置の不安定さを補正しつつ、上顎に咬む刺激を与え、成長促進をはかりました。咬み合せを安定化させると共に、急激な咬み合せの変化から顎関節を守っています。前歯の上下の関係、上下の顎の骨格の関係を改善しました。
その後成長がほぼ終わるまで下顎の成長を観察し、15歳で2次治療を開始、歯並びを整えました(治療期間1年7か月)。
矯正治療後



鼻翼の横は前方へ引き出され、頬もふっくらしています。
頭部X線規格写真
上顎の前方への成長を誘導した結果、治療前は歯を失ったお年寄りのような横顔が、治療後はふっくらとした顔立ちになり、大きく変化しました。
まとめ
矯正治療のタイミングは症例によって異なり、骨格パターンに問題がある場合は早めの対応が不可欠です。この時期に治療できれば成長を誘導でき、治療の可能性が広がります。
こちらの症例では上顎に目が行きますが、下顎が正常に成長するのを見守ることも同時に行なっています。どの時期に矯正治療を行うにしても、顎関節を含めた検査・診断をまず行い、患者さんの状況を十分に把握し、適切な時期にその時期にしかできない適切な治療を行い、2次治療で歯並びを整えます。それまでは顎の成長を見守ることに主眼を置きます。
反対咬合で注意すべき点として、下顎が大きい人は普通の成長期より更に大きく成長する可能性があり、その場合は外科のアシストも考える必要があります。
Before
After
R01
顔への影響を強く意識
顔の主な部分を眉から下顎までと考えると、歯と歯根の部分が40%近くを占めます。歯を動かすということは、顔に重大な影響を与えます。


R02
魅力的な美しい歯並び
歯をただ並べれば美しくなるわけではありません。歯列弓の良好な形、下顎の位置の安定、顎関節の安定によって美しい笑顔が生まれ、また歯と歯茎の健康が向上します。


R04
下顎の位置の重要性
歯の並びも大切ですが、その前に顎関節の状態を確認することが重要です。これは例えば家を建てる前に地盤調査を行うことと同様の意味を持ちます。
R05
CTとMRI
X線被曝量が少なくかつ精度の高いコーンビームCTに加え、日本ではMRIが普及し海外に比べ安価に撮影可能です。これによって顎関節の状態を詳細に把握します。
Before
After
Before
After