R06










Case 01R06
親が気になっている子どもの前歯の並びを早く治そうとします。これは親の関心事です。しかし矯正治療全体から考えると、なにもそんなに早く装置を付けて歯を動かし始めなくてもよいと思います。
こちらの症例では、11歳頃に歯の並びを整えようとしていますが、後でもできることです。第一に考えるのは、この年齢はこれから成長のスパートを迎える時期であり、「より良い顎の成長」を促すために何をしたら良いか?何をする必要はないか?ということです。
臨床経験から、顎の成長には「顎関節と咬み合せの安定」が大切です。成長を阻害する可能性のあるものは排除し、安定させるものを取り入れる。これは子どもを育てる時になるべく良い環境を整えることと同じです。
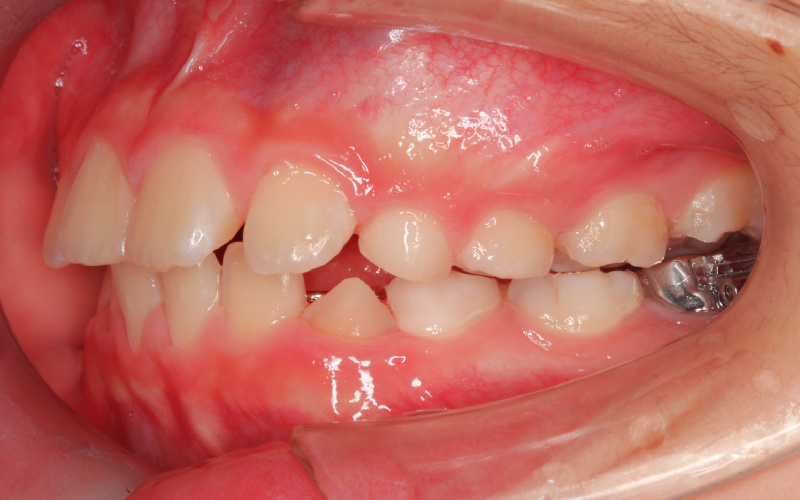
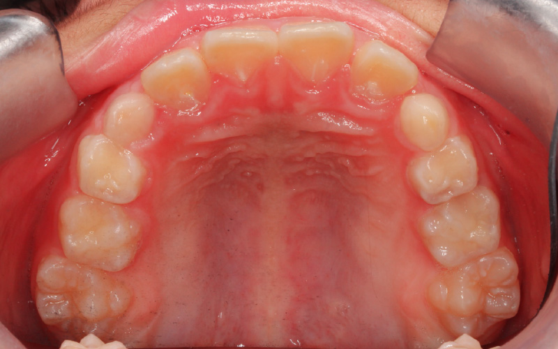
治療前
[11歳1か月]
顔立ちと咬み合せのために下顎の成長が必要と考え、まず顎関節の発育状態をチェックしました。その時重要な役割を果たすのがこの症例の場合MRIです。円板転位は初期で、2次軟骨も成長スパート直前の状態であるとわかりました。
まず歯の配列のみを考えている装置を外し、歯を並べる準備ができるまで、咬み合せを安定させるスタビライゼーションスプリントを1日12〜15時間程(主に夜間)装着してもらい、定期的にチェックして下顎の成長を観察しました。
治療前
[11歳1か月]
顔立ちと咬み合せのために下顎の成長が必要と考え、まず顎関節の発育状態をチェックしました。その時重要な役割を果たすのがこの症例の場合MRIです。円板転位は初期で、2次軟骨も成長スパート直前の状態であるとわかりました。
まず歯の配列のみを考えている装置を外し、歯を並べる準備ができるまで、咬み合せを安定させるスタビライゼーションスプリントを1日12〜15時間程(主に夜間)装着してもらい、定期的にチェックして下顎の成長を観察しました。










スプリント後
スプリント後
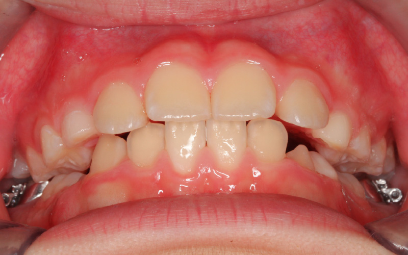
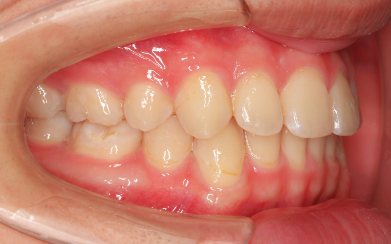
[13歳4か月/矯正治療開始時]
初診から約2年経過し、乳歯も萌え変わり永久歯列となったため、記録を採り成長の様子を観察しました。
スプリントの夜間装着によって、下顎の位置が安定してきました。下顎はバランス良く大きく成長し、咬合平面の右上がりの傾斜も改善しています。MRIにより下顎の成長がアクティブな状態を観察できたので、矯正治療をスタートしました。
治療前
スプリント後頭部X線規格写真
頭部X線規格写真
約2年間で下顎は大きく成長しました。下顎の前方への成長と共に気道(エアウェイ)も広がっています。将来、睡眠時無呼吸症候群の発生を防ぐことになります。










矯正治療後
矯正治療後
[16歳4か月]
上下顎前歯の前突があり、口元が出ていましたので小臼歯の抜歯を行いました。抜歯で得たスペースと、下顎の反時計回転の成長メカニクスを用いて、歯並びと顔立ちを整えていきました。
その結果、オトガイは前方に出て、口唇は後方に引っ込み、鼻尖・オトガイ・口唇の位置に良いハーモニーが生まれました。顔もソフィストケートされ、顔立ち・歯並びともにバッチリです。
治療前
予測画像
矯正治療後シミュレーション
シミュレーション
*予測画像=シミュレーション。治療後は予測通りの結果となっています。
この治療結果は偶然生まれたのではなく、治療前に記録を精査し、シミュレーション(顔をより良くするための歯の移動と下顎の成長予測)を行い、下顎の成長に注意して歯の移動のメカニクスを考えた上で、治療を行なったことで達成されました。この歯を動かす前の予測(治療計画)が大事なのです。
治療前
スプリント後
矯正治療後頭部X線規格写真
頭部X線規格写真
スプリント治療後(=矯正治療開始時)には、下顎は大きく成長しました。下顎の前方への成長と共に気道(エアウェイ)も広がっています。矯正治療中にもさらに下顎は成長、矯正治療のメカニクスで下顎を反時計回転させ、その結果オトガイが前方に出て、顔立ちに大きく影響しています。小臼歯の抜歯(歯を並べるためにも必要でした)が顔の印象の改善に大きく関わっています。

R

R

L

L

R

R

L

L

R

R

L

L
顎関節CBCT画像
顎関節CBCT画像
下顎の両端にある下顎頭は、関節に収まり前上方への良い成長を示しています。この下顎頭の成長の量と前上方への変化が、下顎の反時計回転の成長につながり、オトガイの前方への成長を生み出しています。咬合平面の右上がりの傾斜もこの顎関節の成長調整により治っています。
Before
After
R01
顔への影響を強く意識
顔の主な部分を眉から下顎までと考えると、歯と歯根の部分が40%近くを占めます。歯を動かすということは、顔に重大な影響を与えます。


R02
魅力的な美しい歯並び
歯をただ並べれば美しくなるわけではありません。歯列弓の良好な形、下顎の位置の安定、顎関節の安定によって美しい笑顔が生まれ、また歯と歯茎の健康が向上します。


R04
下顎の位置の重要性
歯の並びも大切ですが、その前に顎関節の状態を確認することが重要です。これは例えば家を建てる前に地盤調査を行うことと同様の意味を持ちます。
R05
CTとMRI
X線被曝量が少なくかつ精度の高いコーンビームCTに加え、日本ではMRIが普及し海外に比べ安価に撮影可能です。これによって顎関節の状態を詳細に把握します。
Before
After
Before
After