R05
01R05
CTとMRIの登場は私たちロススタディクラブに決定的な影響を与えました。2004年にコーンビームCT(CBCT)という、X線被曝量が少なく、しかも精度の高い装置が利用できるようになりました。
更に日本ではMRIが普及し、海外に比べて安価に撮影可能となり、顎関節での炎症の有無、軟組織の特に関節円板転位の特定が可能となっています。
顎関節の問題は矯正治療前の子どもにも生じています。特に関節円板転位の状態の把握は、顎関節の安定度を確認するために必要不可欠です。
顎関節CBCT画像
治療前
スプリント後MRI プロトン強調画像
治療前
スプリント後MRI T2強調画像
治療前
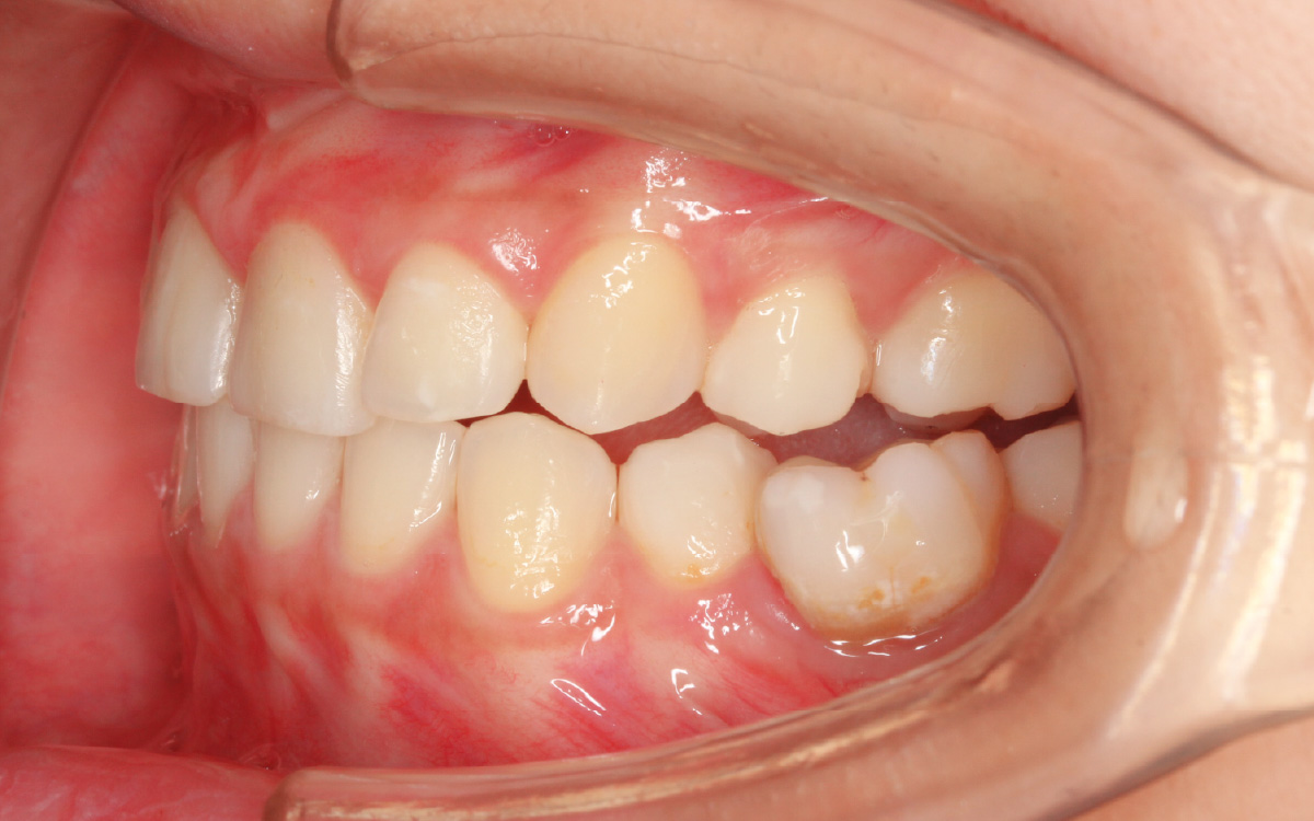
スプリント後口腔内写真
治療前
スプリント後Case 01R05
顎関節CBCT画像
下顎頭の位置が変化し、ノーマルに近い位置となっています。
MRI プロトン強調画像
円板の位置が改善していることが確認できます。
MRI T2強調画像
初診時に白く見えるのが炎症状態です。円板転位が起きるとよく現れる現象です。スプリント療法後には減少することをよく観察します。
口腔内写真
口腔内の咬み合せも変化しており、顎関節の状態と口腔内の咬み合せが密接に関係していることがよくわかります。
ここまで進行した円板転位が常に改善するわけではありませんが、患者さんがスプリントを24時間使用してくれたおかげでこの様な変化が起きました。
顎関節CBCT画像
下顎頭の位置が変化し、ノーマルに近い位置となっています。
MRI プロトン強調画像
円板の位置が改善していることが確認できます。
MRI T2強調画像
初診時に白く見えるのが炎症状態です。円板転位が起きるとよく現れる現象です。スプリント療法後には減少することをよく観察します。
口腔内写真
口腔内の咬み合せも変化しており、顎関節の状態と口腔内の咬み合せが密接に関係していることがよくわかります。
ここまで進行した円板転位が常に改善するわけではありませんが、患者さんがスプリントを24時間使用してくれたおかげでこの様な変化が起きました。
Before
After
R01
顔への影響を強く意識
顔の主な部分を眉から下顎までと考えると、歯と歯根の部分が40%近くを占めます。歯を動かすということは、顔に重大な影響を与えます。


R02
魅力的な美しい歯並び
歯をただ並べれば美しくなるわけではありません。歯列弓の良好な形、下顎の位置の安定、顎関節の安定によって美しい笑顔が生まれ、また歯と歯茎の健康が向上します。


R04
下顎の位置の重要性
歯の並びも大切ですが、その前に顎関節の状態を確認することが重要です。これは例えば家を建てる前に地盤調査を行うことと同様の意味を持ちます。
R05
CTとMRI
X線被曝量が少なくかつ精度の高いコーンビームCTに加え、日本ではMRIが普及し海外に比べ安価に撮影可能です。これによって顎関節の状態を詳細に把握します。
Before
After
Before
After