R04
01R04
fig.1
「顎関節が安定した上での、上下の歯の咬み合せが大きな意味を持つ」とロス先生は考えました。ところが、初診時の多くの患者さんは、自分が咬みやすい位置に「無意識に顎をずらして」咬んでおり、顎関節ではズレていることが大半です。
fig.2
● 従来の矯正治療の対象範囲
矯正歯科治療は100年以上の歴史を通して、口の中に見える歯の位置だけで歯を並べてきました。ロス先生はこのことに違和感を感じ、それまでとは根本的に異なる矯正治療法を確立しました。
fig.3
● ロスフィロソフィの対象範囲
口の中の歯の並びをどうするかの前に「顎関節の状態を最初に確認する」こと。これは例えば、家を建てる前に地盤調査を行うことと同様の意味を持ちます。これがロス先生の考える矯正治療の根幹となっています。
現代人は80年近く歯を使用することになります。ただ歯を並べる表面的な治療では、後で生じる問題を先送りしているにすぎません。そしていざ問題が生じた時に治そうとしても、進行している可能性があり治療は困難となります。
「顎関節が安定した上での、上下の歯の咬み合せが大きな意味を持つ」とロス先生は考えました。ところが、初診時の多くの患者さんは、自分が咬みやすい位置に「無意識に顎をずらして」咬んでおり、顎関節ではズレていることが大半です。
● 従来の矯正治療の対象範囲
矯正歯科治療は100年以上の歴史を通して、口の中に見える歯の位置だけで歯を並べてきました。ロス先生はこのことに違和感を感じ、それまでとは根本的に異なる矯正治療法を確立しました。
● ロスフィロソフィの対象範囲
口の中の歯の並びをどうするかの前に「顎関節の状態を最初に確認する」こと。これは例えば、家を建てる前に地盤調査を行うことと同様の意味を持ちます。これがロス先生の考える矯正治療の根幹となっています。
現代人は80年近く歯を使用することになります。ただ歯を並べる表面的な治療では、後で生じる問題を先送りしているにすぎません。そしていざ問題が生じた時に治そうとしても、進行している可能性があり治療は困難となります。
治療前




R

L
スプリント後




R

L
矯正治療後




R

L
Case 01R04
25年程前の症例です。
治療前
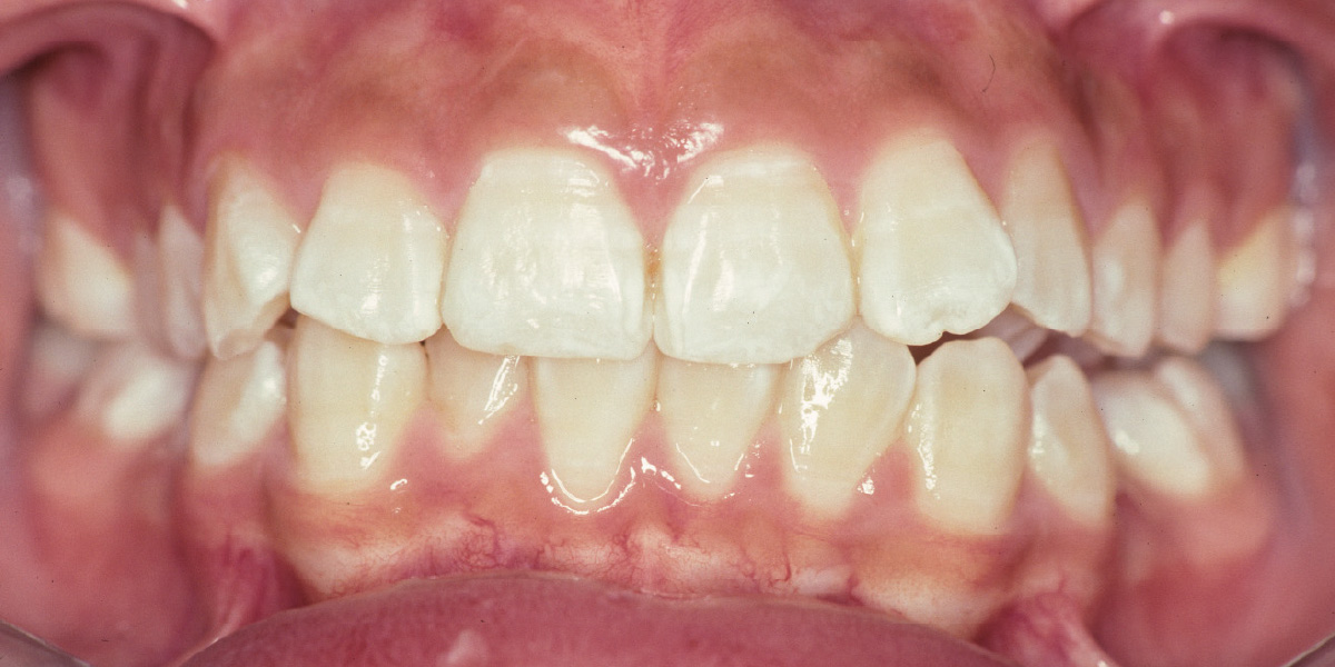
[13歳 女性]
【口腔内】左側にオープンバイトで、歯列不正が認められます。【X線断層写真】両側顎関節のバードビーク状の変形と、特に左側でジョイントスペースが大きく、下顎頭が後下方へ亜脱臼していることが認められます。
「歯の咬み合せ」と「顎関節の不調」という2つの問題に対して、当クラブではまず最初に「この2つに関連があるか」をチェックします。患者さんに「スタビライゼーション型スプリント」を用いて、より良い咬み合せをインスタントに与え、顎関節の不調にどう影響するかを確認します。
スプリント後
[8か月のスプリント療法後]
【X線断層写真】顎関節の症状は消失し、顎位も安定しました。下顎頭の位置は関節窩内で垂直的に変化し、シートしています。【口腔内】咬み合わせが変化しオープンバイトとなっています。
矯正治療後
[矯正治療終了時]
関節窩内における下顎頭の安定した位置を極力変えずに、オープンバイトの咬合関係を改善しました。【顎関節CBCT画像】下顎頭の形態は丸みを帯び安定化し、よく機能しています。
これは偶然達成できたのではなく、最初に問題点を明らかにし、その問題を解決する方向に治療を計画的に進めたことで得られた結果です。これがもし初めに患者さんの口腔内に見える咬み合せをもとに診断し、治療法を考えていたら(一般的にはこのように行われていますが)治療中に顎の位置の変化が起き、予定していた治療法では治療が困難となります。
治療前




R

L
[13歳 女性]
【口腔内】左側にオープンバイトで、歯列不正が認められます。【X線断層写真】両側顎関節のバードビーク状の変形と、特に左側でジョイントスペースが大きく、下顎頭が後下方へ亜脱臼していることが認められます。
「歯の咬み合せ」と「顎関節の不調」という2つの問題に対して、当クラブではまず最初に「この2つに関連があるか」をチェックします。患者さんに「スタビライゼーション型スプリント」を用いて、より良い咬み合せをインスタントに与え、顎関節の不調にどう影響するかを確認します。
スプリント後




R

L
[8か月のスプリント療法後]
【X線断層写真】顎関節の症状は消失し、顎位も安定しました。下顎頭の位置は関節窩内で垂直的に変化し、シートしています。【口腔内】咬み合わせが変化しオープンバイトとなっています。
矯正治療後




R

L
[矯正治療終了時]
関節窩内における下顎頭の安定した位置を極力変えずに、オープンバイトの咬合関係を改善しました。【顎関節CBCT画像】下顎頭の形態は丸みを帯び安定化し、よく機能しています。
これは偶然達成できたのではなく、最初に問題点を明らかにし、その問題を解決する方向に治療を計画的に進めたことで得られた結果です。これがもし初めに患者さんの口腔内に見える咬み合せをもとに診断し、治療法を考えていたら(一般的にはこのように行われていますが)治療中に顎の位置の変化が起き、予定していた治療法では治療が困難となります。
Before
After
R01
顔への影響を強く意識
顔の主な部分を眉から下顎までと考えると、歯と歯根の部分が40%近くを占めます。歯を動かすということは、顔に重大な影響を与えます。


R02
魅力的な美しい歯並び
歯をただ並べれば美しくなるわけではありません。歯列弓の良好な形、下顎の位置の安定、顎関節の安定によって美しい笑顔が生まれ、また歯と歯茎の健康が向上します。


R04
下顎の位置の重要性
歯の並びも大切ですが、その前に顎関節の状態を確認することが重要です。これは例えば家を建てる前に地盤調査を行うことと同様の意味を持ちます。
R05
CTとMRI
X線被曝量が少なくかつ精度の高いコーンビームCTに加え、日本ではMRIが普及し海外に比べ安価に撮影可能です。これによって顎関節の状態を詳細に把握します。
Before
After
Before
After